国际在线江苏频道消息:近日,南通市第一人民医院心血管内科团队成功为一名70岁老年主动脉重度狭窄的患者实施经皮主动脉瓣置换术(TAVR)。“极简式”TAVR手术的成功,标志着南通市第一人民医院多学科协作水平、心血管病救治能力再次迈上新台阶。
病情回顾
赵老伯是县区的一名农民,以前身体很硬朗,干农活是一把好手。四年前,他突然感觉自己的体力大不如从前,每一次活动后就会胸闷、气短、心悸。赵老伯一开始没有重视,觉得这仅仅是自己上了年纪的表现。随着时间的推移,赵老伯的症状不仅没有得到缓解,反而愈加严重了,生活质量也在逐步下降,这才引起了自己和家人的重视。家人带着赵老伯辗转多家医院求医,得到的答案是,赵老伯患上了“主动脉瓣重度狭窄”。
两难的局面
要想根治这个疾病,传统治疗方式就是外科开胸主动脉瓣置换术:一种以人工瓣膜替换原有病变或者异常心脏瓣膜的胸心血管外科手术。然而让赵老伯一家陷入了绝望的是,赵老伯经过一系列检查评估,发现心脏明显扩大,心脏功能明显下降,综合全身情况进行外科换瓣手术风险非常大。
赵老伯的家人托人四处打听,获悉南通市第一人民医院心血管内科已成功开展了微创经导管主动脉瓣置换术(TAVR)。TAVR为主动脉瓣膜病变治疗提供了新的手术选择,只需要通过大腿的血管,就能完成替换损坏主动脉瓣的复杂操作。相对于传统开胸方法,TAVR技术损伤相对轻微,有更低的感染几率、身体的损伤更小、更短的住院时间和更短的恢复时间。

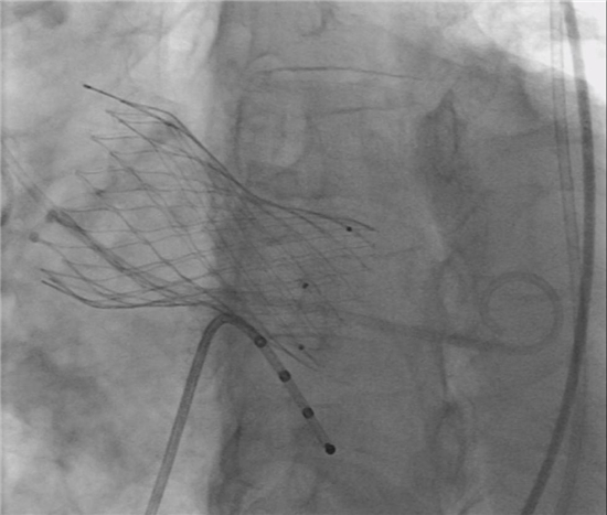
支架瓣膜成功植入体内 供图 南通市第一人民医院
多学科联合出击
对于赵老伯这类身体状况不能耐受外科换瓣手术的老年重度主动脉瓣狭窄患者而言,经导管主动脉瓣置换术是当前阶段有效的治疗方式,且因为创伤小,对此类患者有较大的优势。赵老伯的手术由南通市第一人民医院心内科副主任、副主任医师郑扣龙,主治医师陈亮,与麻醉科、心脏超声科、心外科、血管外科、急诊重症科等多学科专家一道联合组成的技术团队实施。郑扣龙曾在2018年赴德国海德堡心脏中心研修,钻研学习了这项技术。

郑扣龙(右)与德国海德堡心脏中心专家合影 供图 南通市第一人民医院
8月1日,南通市第一人民医院心导管室内,一切都有条不紊地进行着。一个多小时的手术结束了,医生认真完成最后一个步骤,为赵老伯身体上唯一的创口消毒贴辅料,右侧大腿上仅5毫米小创口。
据了解,南通市第一人民医院心血管内科是首批获得江苏省心血管介入诊疗资质的省级重点临床专科,目前有冠心病、起搏与电生理、先天性心脏病三个介入方向的专业学组,国家卫健委冠心病介入及起搏器植入培训基地。(文 陈豆豆)
1、“国际在线”由中国国际广播电台主办。经中国国际广播电台授权,国广国际在线网络(北京)有限公司独家负责“国际在线”网站的市场经营。
2、凡本网注明“来源:国际在线”的所有信息内容,未经书面授权,任何单位及个人不得转载、摘编、复制或利用其他方式使用。
3、“国际在线”自有版权信息(包括但不限于“国际在线专稿”、“国际在线消息”、“国际在线XX消息”“国际在线报道”“国际在线XX报道”等信息内容,但明确标注为第三方版权的内容除外)均由国广国际在线网络(北京)有限公司统一管理和销售。
已取得国广国际在线网络(北京)有限公司使用授权的被授权人,应严格在授权范围内使用,不得超范围使用,使用时应注明“来源:国际在线”。违反上述声明者,本网将追究其相关法律责任。
任何未与国广国际在线网络(北京)有限公司签订相关协议或未取得授权书的公司、媒体、网站和个人均无权销售、使用“国际在线”网站的自有版权信息产品。否则,国广国际在线网络(北京)有限公司将采取法律手段维护合法权益,因此产生的损失及为此所花费的全部费用(包括但不限于律师费、诉讼费、差旅费、公证费等)全部由侵权方承担。
4、凡本网注明“来源:XXX(非国际在线)”的作品,均转载自其它媒体,转载目的在于传递更多信息,丰富网络文化,此类稿件并不代表本网赞同其观点和对其真实性负责。
5、如因作品内容、版权和其他问题需要与本网联系的,请在该事由发生之日起30日内进行。